Home    中文  
 
  • Search
  • lucene Search
  • Citation
  • Fig/Tab
  • Adv Search
Just Accepted  |  Current Issue  |  Archive  |  Featured Articles  |  Most Read  |  Most Download  |  Most Cited

Chinese Journal of Hepatic Surgery(Electronic Edition) ›› 2026, Vol. 15 ›› Issue (01): 108-113. doi: 10.3877/cma.j.issn.2095-3232.2026.01.017

• Clinical Research • Previous Articles    

Diagnosis and treatment of subcapsular lipoma in the right posterior lobe of liver and literature review

Qin Geng, Jing Li, Qiang Kang, Yang Ke, Yuehua Li()   

  1. Section Ⅱ of Department of Hepatobiliary Surgery, the Second Affiliated Hospital of Kunming Medical University, Kunming 650101, China
  • Received:2025-07-18 Online:2026-02-10 Published:2026-02-04
  • Contact: Yuehua Li

Abstract:

Objective

To investigate the clinical diagnosis and treatment characteristics and prognosis of hepatic lipoma.

Methods

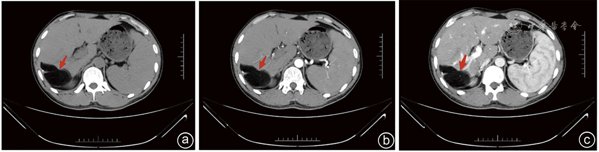
Clinical data of a 32-year-old male patient with hepatic lipoma admitted to Department of Hepatobiliary and Pancreatic Surgery of the Second Affiliated Hospital of Kunming Medical University in November 2023 were retrospectively analyzed. He was hospitalized due to a liver-occupying mass during physical examination. Physical examination revealed nontender abdomen. Complete blood count, blood biochemistry, coagulation function and AFP level was detected normal, while CA50 level was increased. Abdominal ultrasound showed hyperechoic area in the space between liver and kidney. Contrast-enhanced ultrasound revealed that the lesions showed uneven and slight hypoenhancement in the early stage and hypoenhancement in the late stage. Abdominal contrast-enhanced CT showed subcapsular fat density shadow in the right posterior lobe of liver. MRI showed round-like long T1 and long T2 signal shadows in the subcapsular area of the right posterior lobe, without enhancement. Spleen was significantly enlarged. No abnormality was found in parenchymal signals, and no enhancement was observed. MRCP showed no dilatation was seen in the intra-and extra-hepatic bile ducts. Literature review about liver lipoma was conducted and the experience of diagnosis and treatments was summarized.

Results

Preoperatively, the patient was diagnosed with subcapsular lipoma. He showed unexplained splenomegaly. Genetic test revealed β-thalassemia with 654 site mutation, and the folic acid level was decreased (2.69 ng/ml). Preoperatively, Department of Hematology assisted the diagnosis and treatment. The possibility of β-thalassemia was considered. No splenectomy was required. On November 30, 2023, a 7 cm×3 cm×2 cm mass with slightly hard texture and lipomatous changes of the right posterior lobe was resected. Postoperative pathological examination confirmed the diagnosis of hepatic lipoma. Postoperatively, hemoglobin level was progressively decreased. The possibility of postoperative secondary bleeding was excluded, which was considered to be induced by β-thalassemia. Transfusion of suspended red blood cells was given to treat anemia. The patient was recovered well without bile leakage, abdominal infection, liver failure or incision infection.

Conclusions

Hepatic lipoma is a rare benign tumor derived from mesenchymal tissues, and the incidence of malignancy is low. The diagnosis and differential diagnosis of hepatic lipoma should be made by comprehensively considering clinical manifestations, imaging examination and histopathological characteristics of patients. Active surgical resection remains the optimal treatment with favorable prognosis.

Key words: Liver neoplasm, Lipoma, Liver resection, Diagnosis and treatments

京ICP 备07035254号-20
Copyright © Chinese Journal of Hepatic Surgery(Electronic Edition), All Rights Reserved.
Tel: 020-85252582 85252369 E-mail: chinaliver@126.com
Powered by Beijing Magtech Co. Ltd