Home    中文  
 
  • Search
  • lucene Search
  • Citation
  • Fig/Tab
  • Adv Search
Just Accepted  |  Current Issue  |  Archive  |  Featured Articles  |  Most Read  |  Most Download  |  Most Cited

Chinese Journal of Hepatic Surgery(Electronic Edition) ›› 2026, Vol. 15 ›› Issue (01): 114-118. doi: 10.3877/cma.j.issn.2095-3232.2026.01.018

Special Issue:

• Case Report • Previous Articles    

Surgical treatment of synchronous double primary cancer in the liver and duodenal papillary: a case report

Shubing Wei1, Xiao Zhang1, Jieru Ding2, Xiaodi Zhou1, Xinyao Yi1, Qifan Zhang3,()   

  1. 1 The First School of Clinical Medicine, Southern Medical University, Guangzhou 510515, China
    2 The Second School of Clinical Medicine, Southern Medical University, Guangzhou 510280, China
    3 Division of Hepatobiliopancreatic Surgery, Department of General Surgery, Nanfang Hospital, Southern Medical University, Guangzhou 510515, China
  • Received:2025-07-08 Online:2026-02-10 Published:2026-02-04
  • Contact: Qifan Zhang

Abstract:

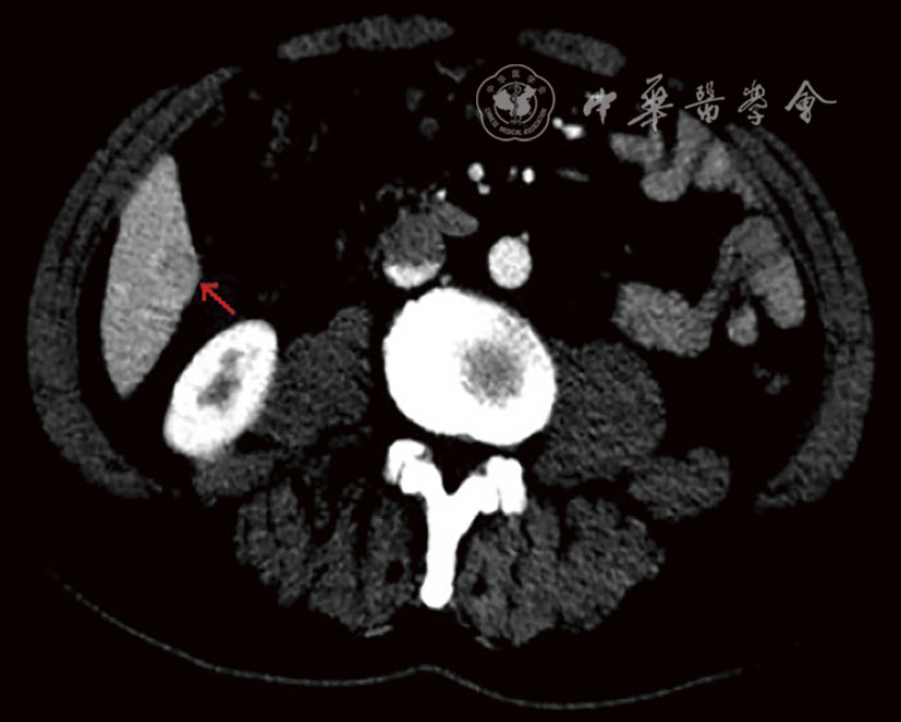
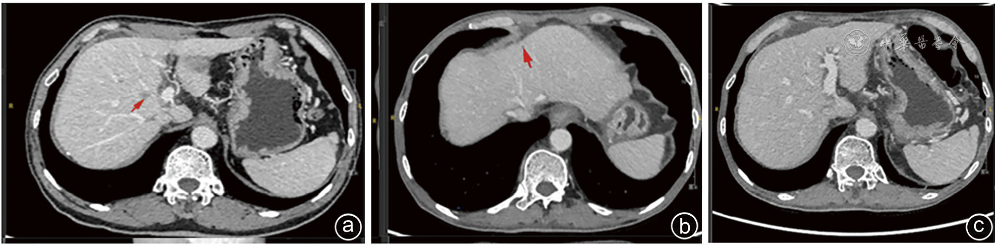
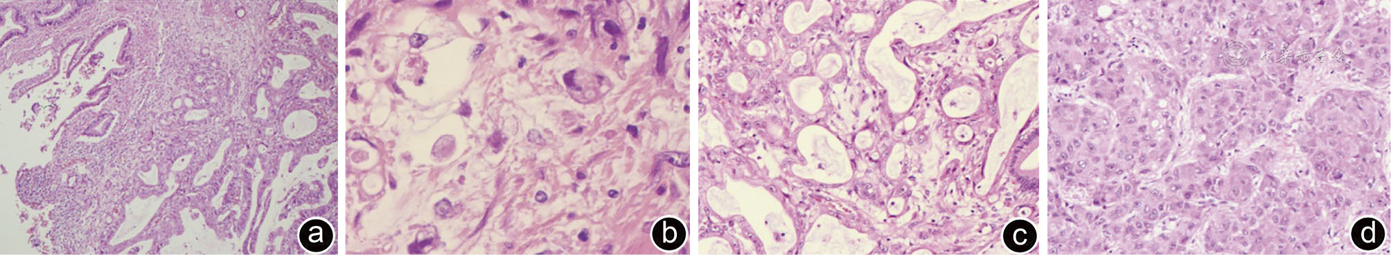
In this report, a 63-year-old male patient was admitted due to "dull pain in the right upper abdomen for 2 months". Imaging and pathological examination confirmed the diagnosis of synchronous hepatocellular carcinoma (CNLC Ⅰa stage) and duodenal papillary carcinoma (moderately-poorly differentiated adenocarcinoma complicated with signet ring cell carcinoma). The patient had a history of chronic hepatitis B. After Multidisciplinary team (MDT) consultation, laparoscopic local resection of segment 5 of the liver combined with pancreatoduodenectomy were performed to achieve R0 resection. Liver metastasis occurred 2 months after operation, and it was completely relieved after TACE, tirelizumab immunotherapy and FOLFOX4 chemotherapy. Postoperative survival time has exceeded 16 months. This case of synchronous double primary carcinoma of the liver and duodenal papilla is extremely rare, and it is likely to miss the diagnosis in clinical practice, suggesting that after the diagnosis of one type of malignant tumor, comprehensive evaluation is still needed to exclude other primary lesions. PET-CT shows important value in the early identification of such multiple primary cancers. Through multi-mode strategy of individualized comprehensive treatment and whole-course management, this patient achieved favorable tumor control effect, providing reference for clinical diagnosis and treatment of such rare cases.

Key words: Double primary cancer, Duodenal papillary cancer, Carcinoma, hepatocellular, Liver metastatasis

京ICP 备07035254号-20
Copyright © Chinese Journal of Hepatic Surgery(Electronic Edition), All Rights Reserved.
Tel: 020-85252582 85252369 E-mail: chinaliver@126.com
Powered by Beijing Magtech Co. Ltd