切换至 "中华医学电子期刊资源库"

中华肝脏外科手术学电子杂志 ›› 2025, Vol. 14 ›› Issue (06) : 956 -961. doi: 10.3877/cma.j.issn.2095-3232.2025.06.021

临床研究

儿童重症急性胰腺炎一例诊治分析并文献复习
董艳1, 郭继武2, 毛杰,2()   
  1. 1 730050 兰州,联勤保障部队第九四〇医院肝胆外科
    2 730030 兰州大学第二医院普通外科
  • 收稿日期:2025-05-10 出版日期:2025-12-10
  • 通信作者: 毛杰
  • 基金资助:
    甘肃省自然科学基金(24JRRA334)

Diagnosis and treatment of a child with severe acute pancreatitis and literature review

Yan Dong1, Jiwu Guo2, Jie Mao2,()   

  1. 1 Department of Hepatobiliary Surgery, the 940th Hospital of Joint Logistic Support Force, Lanzhou 730050, China
    2 Department of General Surgery, Lanzhou University Second Hospital, Lanzhou 730030, China
  • Received:2025-05-10 Published:2025-12-10
  • Corresponding author: Jie Mao
引用本文:

董艳, 郭继武, 毛杰. 儿童重症急性胰腺炎一例诊治分析并文献复习[J/OL]. 中华肝脏外科手术学电子杂志, 2025, 14(06): 956-961.

Yan Dong, Jiwu Guo, Jie Mao. Diagnosis and treatment of a child with severe acute pancreatitis and literature review[J/OL]. Chinese Journal of Hepatic Surgery(Electronic Edition), 2025, 14(06): 956-961.

目的

探讨儿童重症急性胰腺炎(SAP)的诊断及治疗方式。

方法

回顾性分析2023年2月兰州大学第二医院收治的1例儿童SAP患者临床资料。患儿男,10岁,因“进食油腻食物后持续性上腹痛伴间断呕吐2 d”于2023年2月2日入院。体检:体温36.8℃,心率167次/分,呼吸45次/分,血压92/52 mmHg(1 mmHg=0.133 kPa)。神志不清,意识模糊、谵妄,面色苍白,全身皮肤湿冷,口唇发绀,瞳孔对光反射欠灵敏;全腹腹肌紧张,查体不配合,压痛反跳痛未引出,吸气性三凹征弱阳性、心音低钝。实验室检查:Scr 224.3 μmol/L,血淀粉酶 1 252 U/L,血清脂肪酶>2 000 U/L,乳酸脱氢酶521 U/L,B型利钠肽 2 934 pg/ml;WBC 36.3×109/L,Hb 157 g/L,Plt 347×109/L,血钾7.83 mmol/L,血钠 120 mmol/L,血氯87.9 mmol/L。腹部超声:脂肪肝,胆囊积液,胰腺肿大并胰周积液。结合患儿临床表现及检验检查结果,诊断为小儿SAP伴多器官功能衰竭,弥漫性腹膜炎,感染性休克。

结果

患儿入院后立即给予复苏囊正压通气,气管插管有创呼吸机辅助通气,白蛋白扩容、去甲肾上腺素升压、肾上腺素强心等对症治疗。经全科讨论后给予连续性肾脏替代治疗(CRRT)。并予以亚胺培南抗感染、丙泊酚镇静,其余治疗予以营养心肌、抑酸、抑制胰酶分泌、中药灌肠等对症治疗。2周后患儿情况有所好转,撤离呼吸机,停止CRRT。放置空肠营养管行肠内营养治疗。5 d后患儿胃肠减压管引出暗红色液体,排暗红色血便,行胃镜检查示胃底及胃体大弯侧多发曲张静脉,迂曲走行,胃底为著,局部呈结节状,最大直径约1 cm,红色征阳性。经普外科会诊后于2023年2月24日急诊行开腹胰周坏死脓肿切除术及脾切除术。术后1月患儿经内科规律抗感染治疗后出院。术后随访1年,患儿已恢复正常学习生活。

结论

对于儿童SAP,应及时诊断和干预,防止出现进一步并发症。在儿童SAP管理中,及时实现内外科治疗转换有重要意义,急需开展前瞻性多中心研究,以制定循证指南,优化儿童SAP的治疗和管理。

Objective

To investigate the diagnosis and treatment of severe acute pancreatitis (SAP) in a child.

Methods

Clinical data of a child with SAP admitted to Lanzhou University Second Hospital in February 2023 were retrospectively analyzed. On February 2, 2023, a 10-year-old boy was hospitalized due to "persistent epigastric pain with intermittent vomiting for 2 d after eating greasy food". Physical examination: body temperature of 36.8℃, heart rate of 167 beats/min, respiratory rate of 45/min, blood pressure of 92/52 mmHg (1 mmHg=0.133 kPa). He was unconscious and delirious, manifested with pale face, wet and cold skin all over the body, cyanosis of mouth and lips, and insensitive pupil light reflex. The abdominal muscles of the whole abdomen were tense. He was unable to cooperate with physical examination. No tenderness or rebound pain was observed. The patient showed weakly-positive inspiratory three-concave sign, and low and dull heart sound. Laboratory examination: Scr level of 224.3 μmol/L, amylase level of 1 252 U/L, serum lipase level of >2 000 U/L, lactate dehydrogenase level of 521 U/L, B-type natriuretic peptide of 2 934 pg/mL, WBC of 36.3×109/L, Hb of 157 g/L, Plt of 347×109/L, blood potassium level of 7.83 mmol/L, blood sodium level of 120 mmol/L and blood chlorine level of 87.9 mmol/L, respectively. Abdominal ultrasound demonstrated fatty liver, gallbladder effusion, pancreatic enlargement complicated with peripancreatic effusion. Based on clinical manifestations and detection results, the child was diagnosed with SAP complicated with multiple organ failure, diffuse peritonitis and septic shock.

Results

Upon admission, the child was given with positive pressure ventilation using resuscitation bag, invasive ventilator-assisted ventilation by tracheal intubation, albumin expansion, norepinephrine for increasing blood pressure and epinephrine for strengthening heart function. Continuous renal replacement therapy (CRRT) was delivered after general consultation. Imipenem was given for anti-infection and propofol for sedation. Symptomatic treatment, such as nourishing myocardium, inhibiting acid, inhibiting the secretion of pancreatic enzyme and enema with traditional Chinese medicine, was also delivered. After 2 weeks, the child was given with ventilator weaning after proper improvement, and CRRT was terminated. Enteral nutrition therapy was performed by placing jejunal tube. After 5 d, dark red fluid and bloody stool were discharged via gastrointestinal decompression tube. Gastroscopy showed multiple varicose veins at the gastric fundus and gastric greater curvature, manifested with tortuosity especially at the gastric fundus, and local nodules with a maximum diameter of approximately 1 cm. He was positive for red color sign. After Department of General Surgery consultation, emergent open peripancreatic necrotic abscess resection and splenectomy were performed on February 24, 2023. At postoperative 1 month, the child was discharged after regular anti-infection treatment. After 1-year follow-up, the child resumed normal study and life.

Conclusions

For pediatric SAP, prompt diagnosis and interventions should be delivered to prevent subsequent complications. It's of importance to timely conversion of medical and surgical treatment in the management of pediatric SAP. Prospective multi-center trials are required to formulate evidence-based guidelines and optimize the treatment and management of pediatric SAP.

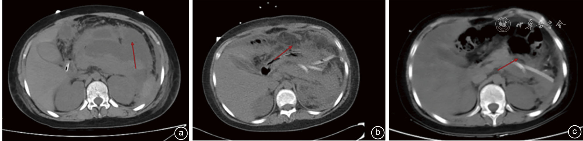
图1 一例儿童重症急性胰腺炎腹部手术前后CT检查图像 注:a为术前CT平扫示胰腺饱满,轮廓不清,腹腔大量积液;b为术后1周胰周包裹性积液基本消失,腹腔盆腔积液减少;c为术后3个月胰周渗出基本消失,腹膜炎减轻(箭头所示)
[1]
Saeed SA. Acute pancreatitis in children: updates in epidemiology, diagnosis and management[J]. Curr Probl Pediatr Adolesc Health Care, 2020, 50(8): 100839. DOI: 10.1016/j.cppeds.2020.100839.
[2]
Abu-El-Haija M, Lin TK, Nathan JD. Management of acute pancreatitis in children[J]. Curr Opin Pediatr, 2017, 29(5): 592-597. DOI: 10.1097/MOP.0000000000000528.
[3]
van Santvoort HC, Besselink MG, Bakker OJ, et al. A step-up approach or open necrosectomy for necrotizing pancreatitis[J]. N Engl J Med, 2010, 362(16): 1491-1502. DOI: 10.1056/NEJMoa0908821.
[4]
陈夜, 肖东琼, 李熙鸿. 儿童急性胰腺炎的研究进展[J]. 临床医学研究与实践, 2021, 6(12): 196-198. DOI: 10.19347/j.cnki.2096-1413.202112067.
[5]
Afzal S, Kleinhenz J. Acute pancreatitis in children[J]. Pediatr Ann, 2021, 50(8): e330-e335. DOI: 10.3928/19382359-20210713-01.
[6]
Abu-El-Haija M, Kumar S, Quiros JA, et al. Management of acute pancreatitis in the pediatric population: a clinical report from the North American society for pediatric gastroenterology, hepatology and nutrition pancreas committee[J]. J Pediatr Gastroenterol Nutr, 2018, 66(1): 159-176. DOI: 10.1097/MPG.0000000000001715.
[7]
Husain SZ, Srinath AI. What's unique about acute pancreatitis in children: risk factors, diagnosis and management[J]. Nat Rev Gastroenterol Hepatol, 2017, 14: 366-372. DOI: 10.1038/nrgastro.2017.13.
[8]
Párniczky A, Abu-El-Haija M, Husain S, et al. EPC/HPSG evidence-based guidelines for the management of pediatric pancreatitis[J]. Pancreatology, 2018, 18(2): 146-160. DOI: 10.1016/j.pan.2018.01.001.
[9]
Abu-El-Haija M, Lin TK, Palermo J. Update to the management of pediatric acute pancreatitis: highlighting areas in need of research[J]. J Pediatr Gastroenterol Nutr, 2014, 58(6): 689-693. DOI: 10.1097/MPG.0000000000000360.
[10]
Perito ER, Lowe ME, Schwarzenberg SJ. Predicting severity in acute pancreatitis in children: what can a quantitative score add to clinical judgement?[J]. J Pediatr Gastroenterol Nutr, 2020, 71(4): 419-420. DOI: 10.1097/MPG.0000000000002869.
[11]
于泽, 隋宇航, 孙备. 坏死性胰腺炎相关并发症外科干预策略[J/OL]. 中华肝脏外科手术学电子杂志, 2024, 13(4): 450-455. DOI: 10.3877/cma.j.issn.2095-3232.2024.04.002.
[12]
Boxhoorn L, van Dijk SM, van Grinsven J, et al. Immediate versus postponed intervention for infected necrotizing pancreatitis[J]. N Engl J Med, 2021, 385(15): 1372-1381. DOI: 10.1056/NEJMoa2100826.
[13]
Morató O, Poves I, Ilzarbe L, et al. Minimally invasive surgery in the era of step-up approach for treatment of severe acute pancreatitis[J]. Int J Surg, 2018, 51: 164-169. DOI: 10.1016/j.ijsu.2018.01.017.
[14]
中华医学会外科学分会胰腺外科学组. 中国急性胰腺炎诊治指南(2021)[J]. 中国实用外科杂志, 2021, 41(7): 739-746. DOI: 10.19538/j.cjps.issn1005-2208.2021.07.03.
[15]
Tenner S, Vege SS, Sheth SG, et al. American college of gastroenterology guidelines: management of acute pancreatitis[J]. Am J Gastroenterol, 2024, 119(3): 419-437. DOI: 10.14309/ajg.0000000000002645.
[16]
Szatmary P, Grammatikopoulos T, Cai W, et al. Acute pancreatitis: diagnosis and treatment[J]. Drugs, 2022, 82(12): 1251-1276. DOI: 10.1007/s40265-022-01766-4.
[17]
Onnekink AM, Boxhoorn L, Timmerhuis HC, et al. Endoscopic versus surgical step-up approach for infected necrotizing pancreatitis (ExTENSION): long-term follow-up of a randomized trial[J]. Gastroenterology, 2022, 163(3): 712-722. e14. DOI: 10.1053/j.gastro.2022.05.015.
[18]
苗毅, 黄东亚, 李强, 等. 从“step-up”到“step-jump”——感染坏死性胰腺炎“跨阶梯”治疗[J]. 中国实用外科杂志, 2020, 40(11): 1251-1254. DOI: 10.19538/j.cjps.issn1005-2208.2020.11.06.
[19]
Mehta MS. Acute pancreatitis in children: risk factors, management, and outcomes[J]. Curr Opin Pediatr, 2023, 35(5): 590-595. DOI: 10.1097/MOP.0000000000001285.
[20]
Nathan JD, Ellery K, Balakrishnan K, et al. The role of surgical management in chronic pancreatitis in children: a position paper from the North American society for pediatric gastroenterology, hepatology, and nutrition pancreas committee[J]. J Pediatr Gastroenterol Nutr, 2022, 74(5): 706-719. DOI: 10.1097/MPG.0000000000003439.
[21]
Dike CR, Abu-El-Haija M. Nutrition management and pancreatitis in children: new insights[J]. Curr Opin Clin Nutr Metab Care, 2022, 25(5): 321-324. DOI: 10.1097/MCO.0000000000000858.
[22]
Birimberg-Schwartz L, Rajiwate S, Dupuis A, et al. Pediatric acute pancreatitis: changes in management and disease outcomes over 16 years[J]. Pancreas, 2021, 50(3): 341-346. DOI: 10.1097/MPA.0000000000001759.
[23]
Imran M, Khan SA, Malik MI. Spectrum of acute, recurrent and chronic pancreatitis in children[J]. J Pak Med Assoc, 2020, 70(12(B)): 2412-2415. DOI: 10.47391/JPMA.540.
[24]
Smolka V, Rohanova M, Seda M, et al. Etiology and classification of acute pancreatitis in children admitted to ICU using the Pediatric Sequential Organ Failure Assessment (pSOFA) score[J]. Hepatobiliary Pancreat Dis Int, 2023, 22(3): 317-322. DOI: 10.1016/j.hbpd.2022.06.018.
[25]
Uc A, Husain SZ. Pancreatitis in children[J]. Gastroenterology, 2019, 156(7): 1969-1978. DOI: 10.1053/j.gastro.2018.12.043.
[26]
Gorbounova I, Tham SW, Abu-El-Haija M, et al. Analgesic patterns and opioid administration in children hospitalized with acute pancreatitis[J]. J Pediatr Gastroenterol Nutr, 2023, 76(6): 793-798. DOI: 10.1097/MPG.0000000000003771.
[27]
石璐璐, 于静. 儿童急性胰腺炎临床特征及重症危险因素分析[J]. 河南医学研究, 2024, 33(8): 1369-1373. DOI: 10.3969/j.issn.1004-437X.2024.08.007.
[28]
Kim HJ. Potential predictors of severe and recurrent pancreatitis in children: a single-center experience[J]. Pediatr Emerg Care, 2024, 40(4): 302-306. DOI: 10.1097/PEC.0000000000003036.
[29]
Cohen RZ, Freeman AJ. Pancreatitis in children[J]. Pediatr Clin North Am, 2021, 68(6): 1273-1291. DOI: 10.1016/j.pcl.2021.07.012.
[30]
Baron TH, DiMaio CJ, Wang AY, et al. American gastroenterological association clinical practice update: management of pancreatic necrosis[J]. Gastroenterology, 2020, 158(1): 67-75. e1. DOI: 10.1053/j.gastro.2019.07.064.
[31]
Abu-El-Haija M, Lowe ME. Pediatric pancreatitis-molecular mechanisms and management[J]. Gastroenterol Clin North Am, 2018, 47(4): 741-753. DOI: 10.1016/j.gtc.2018.07.003.
[1] 刘晴晴, 俞劲, 徐玮泽, 张志伟, 潘晓华, 舒强, 叶菁菁. OBICnet图像分类模型在小儿先天性心脏病超声筛查中的应用价值[J/OL]. 中华医学超声杂志(电子版), 2025, 22(08): 754-760.
[2] 戴璐璐, 潘金花, 孔余霞, 蒋天安. 甲状腺微小乳头状癌射频消融与外科手术治疗效果的多角度对比[J/OL]. 中华医学超声杂志(电子版), 2025, 22(05): 444-450.
[3] 刘芳, 张展, 刘慧, 方玲, 王爱珍, 丁豆豆, 崔苗, 刘百灵, 王洁. 儿童原发性心脏肿瘤超声表现及预后的单中心回顾分析[J/OL]. 中华医学超声杂志(电子版), 2025, 22(05): 470-476.
[4] 贾亚南, 冯雪园, 尚迎晓, 屠英暄, 刘洋, 乔海芝, 马宁. 儿童乳腺颗粒细胞瘤一例[J/OL]. 中华乳腺病杂志(电子版), 2025, 19(05): 308-310.
[5] 中国妇幼保健协会儿童变态反应专业委员会, 《儿童皮肤创面诊疗专家共识(2025版)》编写组. 儿童皮肤创面诊疗专家共识(2025版)[J/OL]. 中华损伤与修复杂志(电子版), 2025, 20(05): 374-383.
[6] 王伟全, 屈祥富, 周智. 手术治疗胆总管异物一例[J/OL]. 中华普外科手术学杂志(电子版), 2025, 19(06): 711-712.
[7] 张聪, 李成. 胰头区恶性肿瘤外科手术预后现状及相关因素的研究进展[J/OL]. 中华普外科手术学杂志(电子版), 2025, 19(05): 574-578.
[8] 邓吟咏, 钟洁, 蒋理立, 杨婕. 结直肠肿瘤手术后并发症的预测与预防:基于临床研究的最新进展[J/OL]. 中华普外科手术学杂志(电子版), 2025, 19(05): 579-583.
[9] 李世拥, 蔡慧云, 安萍, 杨梅, 常晓燕, 李宁, 李宛真, 张忠涛. 百年医路铸辉煌 数字创新谱华章——写在中华医学会成立110周年华诞与《中华普外科手术学杂志(电子版)》发展历程[J/OL]. 中华普外科手术学杂志(电子版), 2025, 19(05): 473-477.
[10] 陆益, 张威, 邓含, 石晗, 冯钰, 高旭, 吴小凤. 戴明循环与标准化流程改进降低泌尿外科腔内手术围术期低体温发生率[J/OL]. 中华腔镜泌尿外科杂志(电子版), 2025, 19(05): 598-604.
[11] 中华医学会外科学分会外科手术学学组. 倡用图文外科手术记录专家共识(2025版)[J/OL]. 中华肝脏外科手术学电子杂志, 2025, 14(06): 805-812.
[12] 陆含笑, 吴波, 陈海艳, 周惠敏, 杨军. 肠道清洁治疗重症急性胰腺炎研究进展[J/OL]. 中华肝脏外科手术学电子杂志, 2025, 14(06): 834-843.
[13] 高成立, 何凯明, 冯啸, 曾凯宁, 唐晖, 姚嘉, 杨卿, 易慧敏, 易述红, 杨扬, 傅斌生. 肝移植治疗儿童遗传代谢性肝病安全性及疗效:单中心44例分析[J/OL]. 中华肝脏外科手术学电子杂志, 2025, 14(06): 844-851.
[14] 姜萌, 韩高飞, 党玲. 多层螺旋CT灌注参数联合血清miR-92a-3p、miR-361-5p对重症急性胰腺炎的预测价值[J/OL]. 中华消化病与影像杂志(电子版), 2025, 15(05): 511-516.
[15] 姜彤彤, 戎萍, 马融, 付乾芳, 张亚同, 赵书艺, 刘晖, 马榕, 李悦, 李瑞本. 抽动障碍儿童呼吸道感染后的临床特征及抽动症状加重的危险因素分析[J/OL]. 中华临床医师杂志(电子版), 2025, 19(06): 426-432.
阅读次数
全文


摘要


AI


AI小编
你好!我是《中华医学电子期刊资源库》AI小编,有什么可以帮您的吗?