切换至 "中华医学电子期刊资源库"

中华肝脏外科手术学电子杂志 ›› 2025, Vol. 15 ›› Issue (01) : 36 -44. doi: 10.3877/cma.j.issn.2095-3232.2026.01.007

临床研究

基于MRI影像组学机器学习构建肝细胞癌微血管侵犯预测模型
戴宗伯1, 张城硕1, 郭庭维1, 何知远1, 赵昊宇1, 张宇慈2, 张佳林1,()   
  1. 1 110000 沈阳,中国医科大学附属第一医院肝胆外科
    2 V6T 1Z4 加拿大温哥华,不列颠哥伦比亚大学计算机科学学院
  • 收稿日期:2025-07-10 出版日期:2025-02-10
  • 通信作者: 张佳林
  • 基金资助:
    辽宁省科技计划联合计划项目(2024-MSLH-544)

Construction of a prediction model for microvascular invasion in hepatocellular carcinoma based on machine learning of MRI radiomics

Zongbo Dai1, Chengshuo Zhang1, Tingwei Guo1, Zhiyuan He1, Haoyu Zhao1, Yuci Zhang2, Jialin Zhang1,()   

  1. 1 Department of Hepatobiliary Surgery, the First Affiliated Hospital of China Medical University, Shenyang 110000, China
    2 School of Computer Science, the University of British Columbia, Vancouver V6T 1Z4, Canada
  • Received:2025-07-10 Published:2025-02-10
  • Corresponding author: Jialin Zhang
引用本文:

戴宗伯, 张城硕, 郭庭维, 何知远, 赵昊宇, 张宇慈, 张佳林. 基于MRI影像组学机器学习构建肝细胞癌微血管侵犯预测模型[J/OL]. 中华肝脏外科手术学电子杂志, 2025, 15(01): 36-44.

Zongbo Dai, Chengshuo Zhang, Tingwei Guo, Zhiyuan He, Haoyu Zhao, Yuci Zhang, Jialin Zhang. Construction of a prediction model for microvascular invasion in hepatocellular carcinoma based on machine learning of MRI radiomics[J/OL]. Chinese Journal of Hepatic Surgery(Electronic Edition), 2025, 15(01): 36-44.

目的

建立一个基于MRI影像组学机器学习的列线图模型术前预测肝细胞癌(肝癌)微血管侵犯(MVI)风险,协助个性化治疗决策。

方法

回顾性分析2019年6月至2022年12月在中国医科大学附属第一医院行手术切除且术后病理组织学证实为肝癌的176例患者。患者均签署知情同意书,符合医学伦理学规定。其中男148例,女28例;年龄32~82岁,中位年龄61岁。收集并整理176例肝癌患者的临床病理学资料,按7∶3随机(纯随机采样法)分为训练集(123例)和测试集(53例)。使用Python中的sklearn软件包在训练集中拟合K最近邻、随机森林、逻辑回归、支持向量机、朴素贝叶斯5种机器学习模型,在训练集和测试集中比较准确率、灵敏度、特异度、F1值和ROC AUC评估各机器学习模型的预测效能,选取综合表现最佳的模型生成影像组学评分。MVI阳性患者临床病理学特征分析采用χ2检验。采用Logistic多因素回归分析MVI的危险因素并建立列线图预测模型。应用ROC、决策曲线和校准曲线评估模型的预测能力和临床价值。

结果

176例患者中MVI阳性54例(30.7%),其中M1为42例,M2为12例;MVI阴性122例(69.3%)。MVI阳性与年龄≤50岁、AFP升高、最大肿瘤直径>5 cm、肿瘤多发、动脉期瘤周强化和肿瘤内坏死有关(χ2=0.049,0.047,0.002,0.049,0.031,0.016;P<0.05)。最大肿瘤直径>5 cm、动脉期瘤周强化和影像组学评分是肝癌发生MVI的独立危险因素(OR=3.733,3.130,2.007;P<0.05)。列线图模型的ROC AUC为0.856(训练集)和0.772(测试集)。决策曲线和校准曲线证明了模型具有良好的临床适用性。

结论

基于MRI影像组学机器学习构建的列线图模型对于术前预测肝癌MVI、指导诊疗决策具有良好的临床价值。

Objective

To construct a nomogram model based on machine learning of MRI radiomics to predict the risk of microvascular invasion (MVI) of hepatocellular carcinoma (HCC) before surgery, and to assist the selection of individualized treatment.

Methods

Clinical data of 176 patients pathologically diagnosed with HCC who underwent surgical resection in the First Affiliated Hospital of China Medical University from June 2019 to December 2022 were retrospectively analyzed. The informed consents of all patients were obtained and the local ethical committee approval was received. Among them, 148 patients were male and 28 female, aged from 32 to 82 years, with a median age of 61 years. Clinicopathological data of 176 HCC patients were collected and analyzed. All patients were randomly divided into the training set (n=123) and test set (n=53) according to a ratio of 7∶3 (simple random sampling method). The sklearn software package in Python was used to fit five machine learning models: K-nearest neighbor, random forest, logistic regression, support vector machine and naive Bayes in the training set. The accuracy, sensitivity, specificity, F1 score and the area under the ROC curve (AUC) were compared between the training and test sets to evaluate the prediction efficiency of each machine learning model, and the model with the optimal comprehensive performance was selected to generate the radiomics score. Clinicopathological features of MVI-positive patients were analyzed by Chi-square test. Multivariate Logistic regression analysis was employed to analyze the risk factors of MVI and establish a nomogram prediction model. ROC, decision curve and calibration curve were utilized to evaluate the predictive ability and clinical value of these models.

Results

Among 176 patients, 54 cases (30.7%) were positive for MVI, including 42 cases of grade M1 and 12 of grade M2. 122 patients (69.3%) were negative for MVI. Positive MVI was associated with age ≤50 years, increased AFP, the maximum tumor diameter >5 cm, multiple tumors, peritumoral enhancement in arterial phase and intra-tumoral necrosis (χ2=0.049, 0.047, 0.002, 0.049, 0.031, 0.016; all P<0.05). The maximum tumor diameter >5 cm, peritumoral enhancement in arterial phase and radiomics score were the independent risk factors for MVI in HCC (OR=3.733,3.130, 2.007; all P<0.05). The AUC of each nomogram model was 0.856 (training set) and 0.772 (test set). The decision curve and calibration curve indicated that the models possessed high clinical practicability.

Conclusions

The nomogram model based on machine learning of MRI radiomics has high clinical value for predicting the risk of MVI of HCC before surgery and guiding decision-making of diagnosis and treatment.

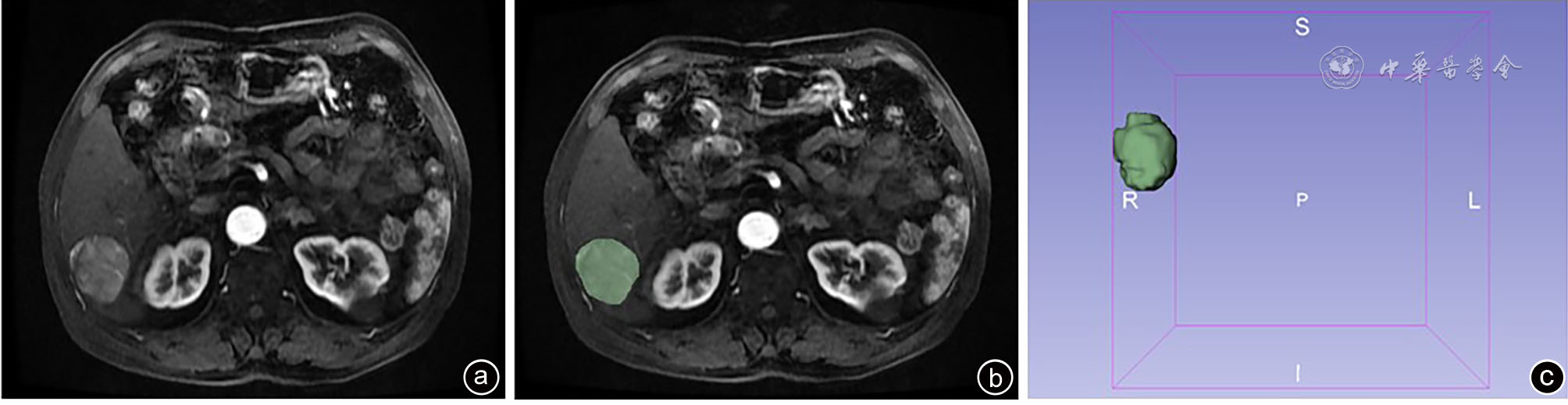
图1 基于肝脏MRI肝癌影像组学分析 注:a、b、c为应用3D-slicer软件勾画ROI;ROI为感兴趣区域
表1 176例肝癌患者的临床病理学特征[例(%)]
表2 训练集和测试集基线资料比较 [例(%)]
图2 基于MRI肝癌影像组学Lasso特征降维和特征筛选 注:a为Lasso交叉验证图,横坐标为λ,纵坐标为λ的标准误;b为Lasso回归系数图,横坐标为λ,纵坐标为特征的回归系数;λ=0.089时达到最佳拟合,筛选出8个影像组学特征;Lasso为最小绝对收缩和选择算法
表3 基于MRI肝癌影像组学机器学习模型在训练集和测试集中预测MVI能力评估
表4 肝癌MVI危险因素的Logistic单因素和多因素回归分析
图3 联合影像组学机器学习模型和临床病理学特征预测肝癌MVI的列线图 注:MVI为微血管侵犯,MTD为最大肿瘤直径,Rad-score为影像组学评分
图4 肝癌微血管侵犯预测列线图模型和影像组学评分在训练集和测试集中的ROC曲线
图5 肝癌微血管侵犯预测列线图模型和影像组学评分在训练集和测试集中的校准曲线
图6 列线图模型和影像组学评分在训练集和测试集中的决策曲线
[1]
Vogel A, Meyer T, Sapisochin G, et al. Hepatocellular carcinoma[J]. Lancet, 2022, 400(10360): 1345-1362. DOI: 10.1016/s0140-6736(22)01200-4.
[2]
Tang B, Zhu J, Zhao Z, et al. Diagnosis and prognosis models for hepatocellular carcinoma patient's management based on tumor mutation burden[J]. J Adv Res, 2021, 33: 153-165. DOI: 10.1016/j.jare.2021.01.018.
[3]
Zheng R, Zhang X, Liu B, et al. Comparison of non-radiomics imaging features and radiomics models based on contrast-enhanced ultrasound and Gd-EOB-DTPA-enhanced MRI for predicting microvascular invasion in hepatocellular carcinoma within 5 cm[J]. Eur Radiol, 2023, 33(9): 6462-6472. DOI: 10.1007/s00330-023-09789-5.
[4]
Chong HH, Yang L, Sheng RF, et al. Multi-scale and multi-parametric radiomics of gadoxetate disodium-enhanced MRI predicts microvascular invasion and outcome in patients with solitary hepatocellular carcinoma≤5 cm[J]. Eur Radiol, 2021, 31(7): 4824-4838. DOI: 10.1007/s00330-020-07601-2.
[5]
中华人民共和国国家卫生健康委员会医政司. 原发性肝癌诊疗指南(2024年版)[J/OL]. 中华肝脏外科手术学电子杂志, 2024, 13(4): 407-449. DOI: 10.3877/cma.j.issn.2095-3232.2024.04.001.
[6]
Lee S, Kang TW, Song KD, et al. Effect of microvascular invasion risk on early recurrence of hepatocellular carcinoma after surgery and radiofrequency ablation[J]. Ann Surg, 2021, 273(3): 564-571. DOI: 10.1097/SLA.0000000000003268.
[7]
Hwang S, Joh JW, Wang HJ, et al. Prognostic prediction models for resection of large hepatocellular carcinoma: a Korean multicenter study[J]. World J Surg, 2018, 42(8): 2579-2591. DOI: 10.1007/s00268-018-4468-2.
[8]
Summers RM. Radiomics to predict microvascular invasion in hepatocellular carcinoma: a promising biomarker for tumor recurrence[J]. Radiology, 2023, 307(4): e230657. DOI: 10.1148/radiol.230657.
[9]
Mazzaferro V, Llovet JM, Miceli R, et al. Predicting survival after liver transplantation in patients with hepatocellular carcinoma beyond the Milan criteria: a retrospective, exploratory analysis[J]. Lancet Oncol, 2009, 10(1): 35-43. DOI: 10.1016/S1470-2045(08)70284-5.
[10]
Chen SL, Xiao H, Xie ZL, et al. The presence of microvascular invasion guides treatment strategy in recurrent HBV-related HCC[J]. Eur Radiol, 2020, 30(6): 3473-3485. DOI: 10.1007/s00330-019-06640-8.
[11]
Hu H, Qi S, Zeng S, et al. Importance of microvascular invasion risk and tumor size on recurrence and survival of hepatocellular carcinoma after anatomical resection and non-anatomical resection[J]. Front Oncol, 2021, 11: 621622. DOI: 10.3389/fonc.2021.621622.
[12]
Liu HF, Zhang YZZ, Wang Q, et al. A nomogram model integrating LI-RADS features and radiomics based on contrast-enhanced magnetic resonance imaging for predicting microvascular invasion in hepatocellular carcinoma falling the Milan criteria[J]. Transl Oncol, 2023, 27: 101597. DOI: 10.1016/j.tranon.2022.101597.
[13]
Yang Y, Zhou Y, Zhou C, et al. Deep learning radiomics based on contrast enhanced computed tomography predicts microvascular invasion and survival outcome in early stage hepatocellular carcinoma[J]. Eur J Surg Oncol, 2022, 48(5): 1068-1077. DOI: 10.1016/j.ejso.2021.11.120.
[14]
Li W, Shakir TM, Zhao Y, et al. Radiomics analysis of [18F] FDG PET/CT for microvascular invasion and prognosis prediction in very-early and early-stage hepatocellular carcinoma[J]. Eur J Nucl Med Mol Imaging, 2021, 48(11): 3353-3354. DOI: 10.1007/s00259-021-05479-w.
[15]
Peiffer-Smadja N, Rawson TM, Ahmad R, et al. Machine learning for clinical decision support in infectious diseases: a narrative review of current applications[J]. Clin Microbiol Infect, 2020, 26(5): 584-595. DOI: 10.1016/j.cmi.2019.09.009.
[16]
Yamada A. Editorial for “preoperative evaluation of Gd-EOB-DTPA-enhanced MRI radiomics-based nomogram in small solitary hepatocellular carcinoma (≤3 cm) with microvascular invasion: a two-center study”[J]. J Magn Reson Imaging, 2022, 56(5): 1473-1474. DOI: 10.1002/jmri.28188.
[17]
Xiao Y, Wu F, Hou K, et al. MR radiomics to predict microvascular invasion status and biological process in combined hepatocellular carcinoma-cholangiocarcinoma[J]. Insights Imaging, 2024, 15(1): 172. DOI: 10.1186/s13244-024-01741-5.
[18]
Xia TY, Zhou ZH, Meng XP, et al. Predicting microvascular invasion in hepatocellular carcinoma using CT-based radiomics model[J]. Radiology, 2023, 307(4): e222729. DOI: 10.1148/radiol.222729.
[19]
Famularo S, Penzo C, Maino C, et al. Preoperative detection of hepatocellular carcinoma's microvascular invasion on CT-scan by machine learning and radiomics: a preliminary analysis[J]. Eur J Surg Oncol, 2025, 51(1): 108274. DOI: 10.1016/j.ejso.2024.108274.
[20]
Bo Z, Chen B, Yang Y, et al. Machine learning radiomics to predict the early recurrence of intrahepatic cholangiocarcinoma after curative resection: a multicentre cohort study[J]. Eur J Nucl Med Mol Imaging, 2023, 50(8): 2501-2513. DOI: 10.1007/s00259-023-06184-6.
[21]
Zhang K, Zhang L, Li WC, et al. Radiomics nomogram for the prediction of microvascular invasion of HCC and patients' benefit from postoperative adjuvant TACE: a multi-center study[J]. Eur Radiol, 2023, 33(12): 8936-8947. DOI: 10.1007/s00330-023-09824-5.
[22]
Zhang Z, Jia XF, Chen XY, et al. Radiomics-based prediction of microvascular invasion grade in nodular hepatocellular carcinoma using contrast-enhanced magnetic resonance imaging[J]. J Hepatocell Carcinoma, 2024, 11: 1185-1192. DOI: 10.2147/JHC.S461420.
[23]
尹胜男, 计一丁, 丁宁, 等. CT影像组学和机器学习预测胆囊息肉样病变性质的研究[J]. 中国CT和MRI杂志, 2023, 21(12): 105-108. DOI: 10.3969/j.issn.1672-5131.2023.12.032.
[24]
Ma X, Wei J, Gu D, et al. Preoperative radiomics nomogram for microvascular invasion prediction in hepatocellular carcinoma using contrast-enhanced CT[J]. Eur Radiol, 2019, 29(7): 3595-3605. DOI: 10.1007/s00330-018-5985-y.
[25]
胡小军. 基于术前钆塞酸二钠MRI图像构建机器学习影像组学模型预测CK19阳性肝细胞癌和肝细胞癌病理分级的研究[D]. 广州: 南方医科大学, 2023. DOI: 10.27003/d.cnki.gojyu.2023.000156.
[26]
Ho DW, Tsui YM, Chan LK, et al. Single-cell RNA sequencing shows the immunosuppressive landscape and tumor heterogeneity of HBV-associated hepatocellular carcinoma[J]. Nat Commun, 2021, 12(1): 3684. DOI: 10.1038/s41467-021-24010-1.
[27]
Liu L, Liu Z, Gao J, et al. CD8+ T cell trajectory subtypes decode tumor heterogeneity and provide treatment recommendations for hepatocellular carcinoma[J]. Front Immunol, 2022, 13: 964190. DOI: 10.3389/fimmu.2022.964190.
[28]
Chen Q, Xiao H, Gu Y, et al. Deep learning for evaluation of microvascular invasion in hepatocellular carcinoma from tumor areas of histology images[J]. Hepatol Int, 2022, 16(3): 590-602. DOI: 10.1007/s12072-022-10323-w.
[29]
常娣, 杨洁, 李迎波, 等. 肝癌分子影像诊疗现状及最新进展[J]. 中华肝脏病杂志, 2024, 32(8): 688-694. DOI: 10.3760/cma.j.cn501113-20240529-00273.
[30]
Xu T, Ren L, Liao M, et al. Preoperative radiomics analysis of contrast-enhanced CT for microvascular invasion and prognosis stratification in hepatocellular carcinoma[J]. J Hepatocell Carcinoma, 2022, 9: 189-201. DOI: 10.2147/JHC.S356573.
[31]
张瑾, 孙中琪, 吴琼, 等. 基于CT的影像组学结合腹部脂肪面积预测肝细胞癌微血管侵犯[J]. 临床放射学杂志, 2024, 43(5): 769-775. DOI: 10.13437/j.cnkijer.2024.05.031.
[32]
郭剑波, 张添辉, 黄送, 等. 基于钆塞酸二钠增强MRI的机器学习模型可预测肝细胞癌的微血管侵犯[J]. 分子影像学杂志, 2023, 46(4): 736-740. DOI: 10.12122/j.issn.1674-4500.2023.04.28.
[33]
Feng B, Wang L, Zhu Y, et al. The value of LI-RADS and radiomic features from MRI for predicting microvascular invasion in hepatocellular carcinoma within 5 cm[J]. Acad Radiol, 2024, 31(6): 2381-2390. DOI: 10.1016/j.acra.2023.12.007.
[1] 侯超, 夏纪筑, 李明星, 何文, 张巍. TCS-MR融合成像揭示帕金森病黑质高回声的空间分布特征[J/OL]. 中华医学超声杂志(电子版), 2025, 22(10): 944-954.
[2] 梅森, 江涛. 人工智能机器学习模型预测关节置换术后效果的进展[J/OL]. 中华关节外科杂志(电子版), 2025, 19(06): 735-741.
[3] 翟羽翔, 陈仁吉. 语音治疗对非综合征型唇腭裂言语障碍患者大脑神经网络影响的研究进展[J/OL]. 中华口腔医学研究杂志(电子版), 2025, 19(06): 418-423.
[4] 杨雯林, 吴元魁. 影像组学在胰腺神经内分泌瘤诊疗中的研究进展[J/OL]. 中华普通外科学文献(电子版), 2025, 19(06): 426-432.
[5] 毛俊, 蔡兆伦, 尹晓南, 沈朝勇, 张波. 影像组学预测模型在胃肠间质瘤诊断及预后中的研究进展[J/OL]. 中华普通外科学文献(电子版), 2025, 19(06): 421-425.
[6] 梁于勇, 郑丽, 杨俭. PDCD4与原发性肝细胞癌患者肝切除术后疾病进展的关系研究[J/OL]. 中华普外科手术学杂志(电子版), 2025, 19(06): 666-669.
[7] 许侨东, 马志延, 冯庚壬, 钟海彬, 刘坚锐, 古松钢. 肝肺多发性原发性癌转化治疗后行腹腔镜肝右前叶切除术一例(附视频)[J/OL]. 中华肝脏外科手术学电子杂志, 2025, 14(06): 973-976.
[8] 吴哲境, 李敬东. ICG荧光成像引导下腹腔镜肝切除术治疗肝癌的安全性和有效性Meta分析[J/OL]. 中华肝脏外科手术学电子杂志, 2025, 14(06): 852-859.
[9] 黄少坚, 梁汉标, 李清平, 唐善华, 李青妍, 李芷西, 黄灿, 王小振, 陈灿辉, 王恺, 李川江. 基于影像组学和临床特征构建肝癌新辅助/转化治疗后病理学完全缓解预测模型[J/OL]. 中华肝脏外科手术学电子杂志, 2025, 14(06): 860-867.
[10] 王利皓, 罗世超, 唐强, 尚栋良, 段少博, 卢冰, 李海, 薛飞. 仑伐替尼和PD-1抑制剂预处理联合TACE序贯治疗CNLC分期Ⅲ期肝癌疗效及安全性[J/OL]. 中华肝脏外科手术学电子杂志, 2025, 14(06): 868-874.
[11] 李健文, 陈莹, 陈羲, 宗晓丹. 钆塞酸二钠增强MRI在高分化小肝癌和不典型增生结节鉴别诊断中的应用[J/OL]. 中华肝脏外科手术学电子杂志, 2025, 14(06): 875-881.
[12] 余萱, 贺需旗, 郭光辉, 谭雷, 李凯, 曾庆劲. 新型微波消融系统治疗血管旁与非血管旁肝癌的安全性及疗效[J/OL]. 中华肝脏外科手术学电子杂志, 2025, 14(06): 888-893.
[13] 刘娜, 盛华, 高超. 机械通气与急性肾损伤:从机制到临床实践[J/OL]. 中华肾病研究电子杂志, 2025, 14(06): 345-350.
[14] 荣锦, 骆明星, 王禹, 刘婷婷, 张宏斌. 全膝关节置换术后慢性疼痛影响因素的多种模型预测性能比较[J/OL]. 中华老年骨科与康复电子杂志, 2025, 11(06): 337-344.
[15] 胡斌, 柳林. 食管癌新辅助治疗后CT影像特征变化与术后病理完全缓解率的相关性研究[J/OL]. 中华消化病与影像杂志(电子版), 2025, 15(06): 627-634.
阅读次数
全文


摘要


AI


AI小编
你好!我是《中华医学电子期刊资源库》AI小编,有什么可以帮您的吗?