切换至 "中华医学电子期刊资源库"

中华肝脏外科手术学电子杂志 ›› 2025, Vol. 15 ›› Issue (01) : 108 -113. doi: 10.3877/cma.j.issn.2095-3232.2026.01.017

临床研究

肝右后叶包膜下脂肪瘤诊治并文献复习
耿钦, 李婧, 康强, 柯阳, 李越华()   
  1. 650101 昆明医科大学第二附属医院肝胆胰外科二病区
  • 收稿日期:2025-07-18 出版日期:2025-02-10
  • 通信作者: 李越华
  • 基金资助:
    国家自然科学基金青年科学基金(82103173); 云南省中青学术和技术带头人后备人才项目(202205AC160063)

Diagnosis and treatment of subcapsular lipoma in the right posterior lobe of liver and literature review

Qin Geng, Jing Li, Qiang Kang, Yang Ke, Yuehua Li()   

  1. Section Ⅱ of Department of Hepatobiliary Surgery, the Second Affiliated Hospital of Kunming Medical University, Kunming 650101, China
  • Received:2025-07-18 Published:2025-02-10
  • Corresponding author: Yuehua Li
引用本文:

耿钦, 李婧, 康强, 柯阳, 李越华. 肝右后叶包膜下脂肪瘤诊治并文献复习[J/OL]. 中华肝脏外科手术学电子杂志, 2025, 15(01): 108-113.

Qin Geng, Jing Li, Qiang Kang, Yang Ke, Yuehua Li. Diagnosis and treatment of subcapsular lipoma in the right posterior lobe of liver and literature review[J/OL]. Chinese Journal of Hepatic Surgery(Electronic Edition), 2025, 15(01): 108-113.

目的

探讨肝脂肪瘤临床诊治特点及预后。

方法

回顾性分析2023年11月昆明医科大学第二附属医院就诊的1例肝脂肪瘤患者临床资料。患者男,32岁,体检发现肝脏占位入院。查体:腹部正常。血常规、血液生化、凝血功能、AFP正常,CA50升高。腹部超声示肝肾间隙高回声区;超声造影示病灶早期呈不均匀稍低增强,晚期呈低增强。腹部增强CT示肝右后叶包膜下脂肪密度影。MRI示肝右后叶肝包膜下类圆形长T1、长T2信号影,无强化;脾脏明显增大,实质信号未见异常,无强化。MRCP示肝内外胆管无扩张。复习肝脂肪瘤相关文献并总结诊治经验。

结果

术前诊断为肝包膜下脂肪瘤。患者不明原因脾大,地中海贫血基因检测报告示654位点突变的β-地中海贫血,叶酸降低(2.69 ng/ml)。术前血液科协助诊治,考虑β-地中海贫血,无须脾脏切除。于2023年11月30日行开腹肝右后叶切除,肝右后叶7 cm×3 cm×2 cm肿物,质地稍硬,脂肪瘤样改变。术后病理学诊断为肝脂肪瘤。术后血红蛋白进行性降低,排除手术后继发性出血可能,考虑β-地中海贫血所致,输注悬浮红细胞纠正贫血。患者恢复良好,无胆漏、腹腔感染、肝衰竭和切口感染等相关并发症发生。

结论

肝脂肪瘤是来源于间叶组织的少见良性肿瘤,恶变发生率低。对于肝脂肪瘤的诊断与鉴别,应结合患者的临床表现、影像学检查和组织病理学特征进行综合考虑,积极手术切除仍然是最佳的治疗方案,预后良好。

Objective

To investigate the clinical diagnosis and treatment characteristics and prognosis of hepatic lipoma.

Methods

Clinical data of a 32-year-old male patient with hepatic lipoma admitted to Department of Hepatobiliary and Pancreatic Surgery of the Second Affiliated Hospital of Kunming Medical University in November 2023 were retrospectively analyzed. He was hospitalized due to a liver-occupying mass during physical examination. Physical examination revealed nontender abdomen. Complete blood count, blood biochemistry, coagulation function and AFP level was detected normal, while CA50 level was increased. Abdominal ultrasound showed hyperechoic area in the space between liver and kidney. Contrast-enhanced ultrasound revealed that the lesions showed uneven and slight hypoenhancement in the early stage and hypoenhancement in the late stage. Abdominal contrast-enhanced CT showed subcapsular fat density shadow in the right posterior lobe of liver. MRI showed round-like long T1 and long T2 signal shadows in the subcapsular area of the right posterior lobe, without enhancement. Spleen was significantly enlarged. No abnormality was found in parenchymal signals, and no enhancement was observed. MRCP showed no dilatation was seen in the intra-and extra-hepatic bile ducts. Literature review about liver lipoma was conducted and the experience of diagnosis and treatments was summarized.

Results

Preoperatively, the patient was diagnosed with subcapsular lipoma. He showed unexplained splenomegaly. Genetic test revealed β-thalassemia with 654 site mutation, and the folic acid level was decreased (2.69 ng/ml). Preoperatively, Department of Hematology assisted the diagnosis and treatment. The possibility of β-thalassemia was considered. No splenectomy was required. On November 30, 2023, a 7 cm×3 cm×2 cm mass with slightly hard texture and lipomatous changes of the right posterior lobe was resected. Postoperative pathological examination confirmed the diagnosis of hepatic lipoma. Postoperatively, hemoglobin level was progressively decreased. The possibility of postoperative secondary bleeding was excluded, which was considered to be induced by β-thalassemia. Transfusion of suspended red blood cells was given to treat anemia. The patient was recovered well without bile leakage, abdominal infection, liver failure or incision infection.

Conclusions

Hepatic lipoma is a rare benign tumor derived from mesenchymal tissues, and the incidence of malignancy is low. The diagnosis and differential diagnosis of hepatic lipoma should be made by comprehensively considering clinical manifestations, imaging examination and histopathological characteristics of patients. Active surgical resection remains the optimal treatment with favorable prognosis.

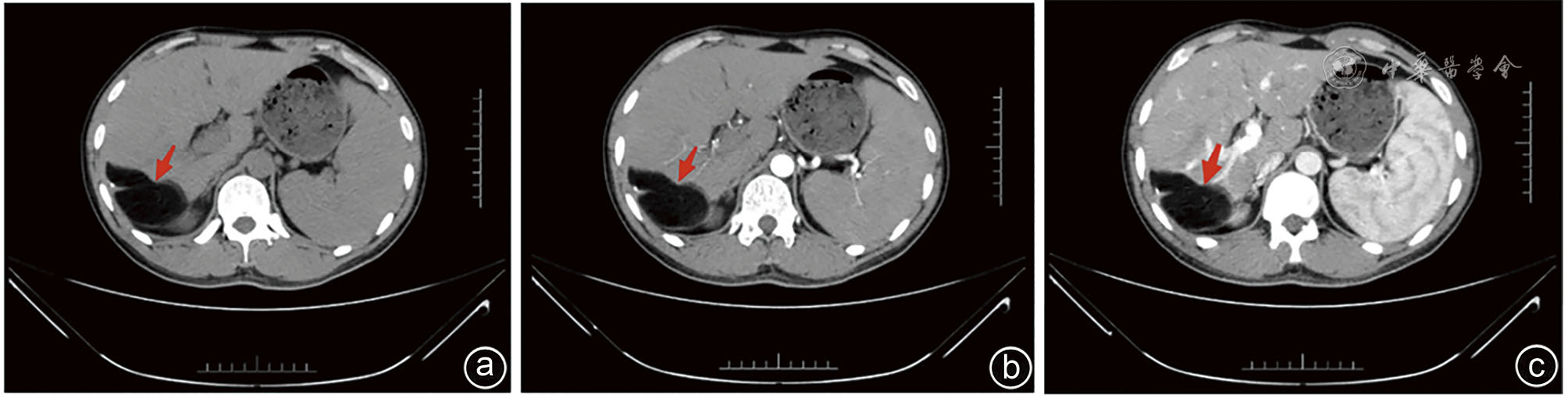
图1 一例肝右后叶包膜下脂肪瘤患者术前腹部CT图像 注:a为平扫;b为动脉期;c为静脉期;肝右后叶包膜下见一片状脂肪密度影,增强后无强化(红色箭头所示)
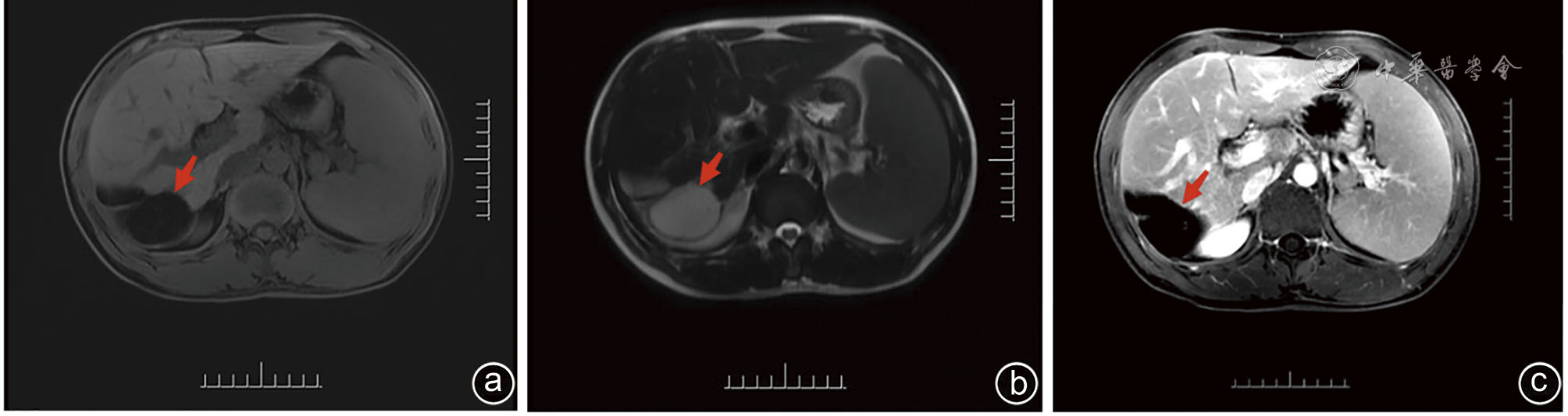
图2 一例肝右后叶包膜下脂肪瘤患者术前腹部MRI图像 注:a为T1像;b为T2像;c为增强扫描;肝右后叶肝包膜下可见不规则状 T1、长T2信号影,边界清楚,增强后无强化(红色箭头所示)
图3 一例肝右后叶包膜下脂肪瘤患者术后标本及病理图片 注:a为大体标本,包膜完整;b为标本剖开,脂肪瘤样改变;c为组织切片示脂肪瘤(HE,×400);d为CD34(血管+)(免疫组化法,×400)
[1]
傅思源, 周伟平, 姚晓平, 等. 肝脏脂肪瘤的诊断和治疗(附11例报告)[J]. 肝胆外科杂志, 2002, 10(2): 94-95.
[2]
李硕, 林杰, 王卫东. 5例肝血管平滑肌脂肪瘤的诊断与治疗分析[J]. 岭南现代临床外科, 2022, 22(1): 56-60. DOI: 10.3969/j.issn.1009-976X.2022.01.009.
[3]
于雁宾, 党受琴, 庄云龙, 等. 35例肝血管平滑肌脂肪瘤患者诊治及疗效分析[J/OL]. 中华肝脏外科手术学电子杂志, 2023, 12(3): 327-330. DOI: 10.3877/cma.j.issn.2095-3232.2023.03.015.
[4]
Tsui WM, Colombari R, Portmann BC, et al. Hepatic angiomyolipoma: a clinicopathologic study of 30 cases and delineation of unusual morphologic variants[J]. Am J Surg Pathol, 1999, 23(1): 34-48. DOI: 10.1097/00000478-199901000-00004.
[5]
刘立民, 刘卓, 赵月, 等. 腹腔镜下切除升结肠系膜巨大脂肪瘤1例[J]. 中国临床案例成果数据库, 2024, 6(1): E2492. DOI: 10.3760/cma.j.cmcr20240928-02018.
[6]
张雪松. 脂肪瘤: 皮肤下的良性肿瘤[J]. 中医健康养生, 2019, 5(12): 45-47.
[7]
王强, 郭高鹏, 宋国瑞, 等. 巨大脂肪瘤手术切除1例[J]. 宁夏医科大学学报, 2022, 44(10): 1074-1075. DOI: 10.16050/j.cnki.issn1674-6309.2022.10.021.
[8]
陈莹, 张涛, 张学琴, 等. 肝脏血管平滑肌脂肪瘤CT及MRI诊断分析[J]. 交通医学, 2022, 36(5): 491-493, 497. DOI: 10.19767/j.cnki.32-1412.2022.05.015.
[9]
严福华, 曾蒙苏, 周康荣, 等. 肝脏血管平滑肌脂肪瘤的CT及MRI征象分析[J]. 中华放射学杂志, 2001, 35(11): 821-825. DOI: 10.3760/j.issn: 1005-1201.2001.11.006.
[10]
郭建琴. 超声诊断肝脂肪瘤1例[J]. 中国医学影像学杂志, 2001, 9(5): 356-371. DOI: 10.3969/j.issn.1005-5185.2001.05.039.
[11]
郝金钢, 袁曙光, 郭立, 等. 肝脏脂肪瘤MRI诊断1例分析[J]. 中国误诊学杂志, 2007, 2(1): 185-186. DOI: 10.3969/j.issn.1009-6647.2007.01.185.
[12]
魏佳璐, 沈进, 何波, 等. 肝脏血管平滑肌脂肪瘤的CT及MRI表现[J]. 中国医学影像技术, 2018, 34(S1): 30-33. DOI: 10.13929/j.1003-3289.201808058.
[13]
牛亚琦, 杨莉. 磁共振成像和计算机X线断层扫描肝对血管平滑肌脂肪瘤的诊断价值[J]. 基因组学与应用生物学, 2019, 38(9): 4172-4176. DOI: 10.13929/j.1003-3289.201808058.
[14]
华海琴, 徐晓娟. 典型肝脂肪瘤一例[J]. 放射学实践, 2008, 23(2): 194. DOI: 10.3969/j.issn.1000-0313.2008.02.035.
[15]
丁光辉, 吴孟超, 杨广顺, 等. 肝脏血管平滑肌脂肪瘤的诊断和治疗[J]. 第二军医大学学报, 2010, 31(6): 615-620.
[16]
张树辉, 丛文铭, 冼志红, 等. 肝血管平滑肌脂肪瘤的形态学变异和免疫组织化学特征[J]. 中华病理学杂志, 2004, 33(5): 40-43. DOI: 10.3760/j.issn: 0529-5807.2004.05.010.
[17]
吴孟超. 肝脏外科学[M]. 2版. 上海: 上海科技教育出版社,  2000: 382-384.
[18]
余佳, 陈辰, 张爱民, 等. 肝脏局灶性结节样增生的诊断及治疗: 附病例报告并文献综述[J]. 中国普通外科杂志, 2013, 22(7): 948-952.
[19]
Son HJ, Kang DW, Kim JH, et al. Hepatic perivascular epithelioid cell tumor (PEComa): a case report with a review of literatures[J]. Clin Mol Hepatol, 2017, 23(1): 80-86. DOI: 10.3350/cmh.2016.0034.
[20]
官柏松, 蔡景修, 王敖川. 肝脂肪瘤一例[J]. 实用外科杂志, 1985, 5(2): 76.
[21]
张建中, 朱梅刚. 肝脂肪瘤1例[J]. 肿瘤, 1985, 5(1): 33.
[22]
丛文铭, 杨甲梅. 原发性肝脂肪瘤1例[J]. 上海医学, 1991, 14(9): 501.
[23]
金恺濂, 吕志新, 杨连海. 肝脂肪瘤性肿瘤(附二例报告并文献复习)[J]. 中华放射学杂志, 1995, 29(6): 419-420.
[24]
严真伟, 曾德伦, 刘鸿清, 等. 肝脂肪瘤破裂出血1例[J]. 人民军医, 1998, 41(8): 495.
[25]
李金龙, 李荣祥, 潘万能等. 肝脂肪瘤一例[J]. 中华肝胆外科杂志, 2001, 7(1): 45.
[26]
Yang G, Hwang S, Ahn CS, et al. Clinicopathological correlation and post-resection outcomes of hepatic angiomyolipoma[J]. Ann Hepatobiliary Pancreat Surg, 2021, 25(2): 215-220. DOI: 10.14701/ahbps.2021.25.2.215.
[27]
肝脏穿刺活检湘雅专家共识编写组. 肝脏穿刺活检湘雅专家共识[J]. 中国普通外科杂志, 2021, 30(1): 1-8. DOI: 10.7659/j.issn.1005-6947.2021.01.001.
[28]
Klompenhouwer AJ, Verver D, Janki S, et al. Management of hepatic angiomyolipoma: a systematic review[J]. Liver Int, 2017, 37(9): 1272-1280. DOI: 10.1111/liv.13381.
[29]
Wang WT, Li ZQ, Zhang GH, et al. Liver transplantation for recurrent posthepatectomy malignant hepatic angiomyolipoma: a case report[J]. World J Gastroenterol, 2015, 21(12): 3755-3758. DOI: 10.3748/wjg.v21.i12.3755.
[30]
Yang X, Lei C, Qiu Y, et al. Selecting a suitable surgical treatment for hepatic angiomyolipoma: a retrospective analysis of 92 cases[J]. ANZ J Surg, 2018, 88(9): E664-E669. DOI: 10.1111/ans.14323.
[31]
Dalle I, Sciot R, de Vos R, et al. Malignant angiomyolipoma of the liver: a hitherto unreported variant[J]. Histopathology, 2000, 36(5): 443-450. DOI: 10.1046/j.1365-2559.2000.00891.x.
[32]
Kamimura K, Oosaki A, Sugahara S, et al. Malignant potential of hepatic angiomyolipoma: case report and literature review[J]. Clin J Gastroenterol, 2010, 3(2): 104-110. DOI: 10.1007/s12328-010-0136-2.
[1] 费继宏, 刘思嘉, 刘云建. 肠道微生态与原发性肝癌关系的研究进展[J/OL]. 中华普通外科学文献(电子版), 2025, 19(05): 347-350.
[2] 张杰, 张志扬, 聂勇, 蒋铁民. 离体肝切除联合自体肝移植的技术创新与临床应用进展[J/OL]. 中华普通外科学文献(电子版), 2025, 19(05): 351-355.
[3] 李瑞, 陈文浩, 徐镇, 蒋维荣, 李志文, 侯以森, 孟勇. 3D打印解剖模型联合腹腔镜手术视频在腹腔镜肝切除术临床教学的应用研究[J/OL]. 中华普外科手术学杂志(电子版), 2026, 20(01): 63-66.
[4] 梁于勇, 郑丽, 杨俭. PDCD4与原发性肝细胞癌患者肝切除术后疾病进展的关系研究[J/OL]. 中华普外科手术学杂志(电子版), 2025, 19(06): 666-669.
[5] 陈系东, 王绍闯, 赵何伟, 王硕, 袁维栋. 高龄BCLC B期肝癌患者常规TACE术后急性肝功能恶化的危险因素研究[J/OL]. 中华普外科手术学杂志(电子版), 2025, 19(06): 689-692.
[6] 张珅瑜, 王继洲. 多灶性肝细胞癌的手术策略——外科医师视角[J/OL]. 中华腔镜外科杂志(电子版), 2025, 18(05): 264-270.
[7] 吴哲境, 李敬东. ICG荧光成像引导下腹腔镜肝切除术治疗肝癌的安全性和有效性Meta分析[J/OL]. 中华肝脏外科手术学电子杂志, 2025, 14(06): 852-859.
[8] 黄洪军, 黄志强, 林敏杰, 孟兴成, 吴志明, 李江涛. 巨大肝血管瘤腹腔镜下血管瘤剥除术与解剖性肝切除术疗效比较[J/OL]. 中华肝脏外科手术学电子杂志, 2025, 14(06): 882-887.
[9] 许侨东, 马志延, 冯庚壬, 钟海彬, 刘坚锐, 古松钢. 肝肺多发性原发性癌转化治疗后行腹腔镜肝右前叶切除术一例(附视频)[J/OL]. 中华肝脏外科手术学电子杂志, 2025, 14(06): 973-976.
[10] 唐玥, 陈家璐, 覃德龙, 李宗龙, 汤朝晖, 全志伟. 腹腔镜肝切除治疗复发性肝癌的焦点与难点问题探讨[J/OL]. 中华肝脏外科手术学电子杂志, 2025, 14(05): 667-672.
[11] 袁文康, 张冲, 张超. 肝脏外科治疗理念的变迁与技术进步[J/OL]. 中华肝脏外科手术学电子杂志, 2025, 14(05): 673-679.
[12] 黄洁. 腹腔镜肝后上段切除术中的技术挑战与策略思考[J/OL]. 中华肝脏外科手术学电子杂志, 2025, 14(05): 680-686.
[13] 林水荣, 宋子敏, 于玺, 李绍强, 华赟鹏, 沈顺利. 术前抗病毒治疗对HBV相关肝癌肝切除术后肝衰竭影响[J/OL]. 中华肝脏外科手术学电子杂志, 2025, 14(05): 700-706.
[14] 张燕, 许丁伟, 胡满琴, 黄昊扬, 宋光娜, 黄洁. 术前免疫炎症指标对肝癌肝切除术患者生存预后的预测价值[J/OL]. 中华肝脏外科手术学电子杂志, 2025, 14(05): 707-715.
[15] 朱永慧, 桑迪, 宋佳. 肝癌大范围肝切除患者术后骨骼肌减少的列线图预测模型构建及临床验证[J/OL]. 中华消化病与影像杂志(电子版), 2025, 15(05): 467-473.
阅读次数
全文


摘要


AI


AI小编
你好!我是《中华医学电子期刊资源库》AI小编,有什么可以帮您的吗?