切换至 "中华医学电子期刊资源库"

中华肝脏外科手术学电子杂志 ›› 2025, Vol. 15 ›› Issue (01) : 114 -118. doi: 10.3877/cma.j.issn.2095-3232.2026.01.018

病例报告

同时性肝十二指肠乳头双原发癌手术治疗一例
卫姝冰1, 张潇1, 丁洁茹2, 周晓荻1, 易昕瑶1, 张起帆3,()   
  1. 1 510515 广州,南方医科大学第一临床医学院
    2 510280 广州,南方医科大学第二临床医学院
    3 510515 广州,南方医科大学南方医院普通外科学肝胆胰外科
  • 收稿日期:2025-07-08 出版日期:2025-02-10
  • 通信作者: 张起帆
  • 基金资助:
    广东省基础与应用基础研究基金(2024A1515220154)

Surgical treatment of synchronous double primary cancer in the liver and duodenal papillary: a case report

Shubing Wei1, Xiao Zhang1, Jieru Ding2, Xiaodi Zhou1, Xinyao Yi1, Qifan Zhang3,()   

  1. 1 The First School of Clinical Medicine, Southern Medical University, Guangzhou 510515, China
    2 The Second School of Clinical Medicine, Southern Medical University, Guangzhou 510280, China
    3 Division of Hepatobiliopancreatic Surgery, Department of General Surgery, Nanfang Hospital, Southern Medical University, Guangzhou 510515, China
  • Received:2025-07-08 Published:2025-02-10
  • Corresponding author: Qifan Zhang
引用本文:

卫姝冰, 张潇, 丁洁茹, 周晓荻, 易昕瑶, 张起帆. 同时性肝十二指肠乳头双原发癌手术治疗一例[J/OL]. 中华肝脏外科手术学电子杂志, 2025, 15(01): 114-118.

Shubing Wei, Xiao Zhang, Jieru Ding, Xiaodi Zhou, Xinyao Yi, Qifan Zhang. Surgical treatment of synchronous double primary cancer in the liver and duodenal papillary: a case report[J/OL]. Chinese Journal of Hepatic Surgery(Electronic Edition), 2025, 15(01): 114-118.

本文报道一例63岁男性患者,因“右上腹部隐痛2个月”就诊。经影像学与病理学检查,确诊为同时性肝细胞癌(CNLC Ⅰa期)及十二指肠乳头癌(中-低分化腺癌伴印戒细胞癌成分)。患者既往有慢性乙型肝炎病史。经MDT讨论,行腹腔镜下肝S5段局部切除联合胰十二指肠切除术,实现R0切除。术后2个月发生肝转移,TACE、替雷利珠单抗免疫治疗及FOLFOX4方案化疗后达完全缓解,术后生存期已超过16个月。本例同时性肝与十二指肠乳头双原发癌极为罕见,且临床易漏诊,提示在确诊一种恶性肿瘤后,仍需进行全面评估以排除其他原发性病灶,PET-CT 在此类多原发癌的早期识别中展现出重要价值。通过个体化综合治疗与全程管理的多模式策略,该病例最终实现了良好的肿瘤控制效果,为类似罕见情形的临床诊治提供了参考。

In this report, a 63-year-old male patient was admitted due to "dull pain in the right upper abdomen for 2 months". Imaging and pathological examination confirmed the diagnosis of synchronous hepatocellular carcinoma (CNLC Ⅰa stage) and duodenal papillary carcinoma (moderately-poorly differentiated adenocarcinoma complicated with signet ring cell carcinoma). The patient had a history of chronic hepatitis B. After Multidisciplinary team (MDT) consultation, laparoscopic local resection of segment 5 of the liver combined with pancreatoduodenectomy were performed to achieve R0 resection. Liver metastasis occurred 2 months after operation, and it was completely relieved after TACE, tirelizumab immunotherapy and FOLFOX4 chemotherapy. Postoperative survival time has exceeded 16 months. This case of synchronous double primary carcinoma of the liver and duodenal papilla is extremely rare, and it is likely to miss the diagnosis in clinical practice, suggesting that after the diagnosis of one type of malignant tumor, comprehensive evaluation is still needed to exclude other primary lesions. PET-CT shows important value in the early identification of such multiple primary cancers. Through multi-mode strategy of individualized comprehensive treatment and whole-course management, this patient achieved favorable tumor control effect, providing reference for clinical diagnosis and treatment of such rare cases.

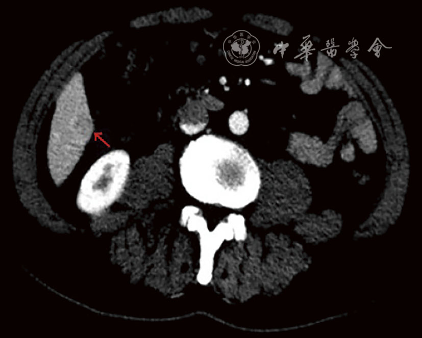
图1 一例同时性肝十二指肠乳头双原发癌CT图像 注:肝右叶下缘包膜下(肝S5/6)类圆形稍低密度影(红色箭头所示)
图2 一例同时性肝十二指肠乳头双原发癌PET-CT图像 注:十二指肠乳头见一软组织结节影,FDG代谢明显增高,FAPI摄取轻度增高;肝S5/6段见1稍低密度占位性病变(红色箭头所示),FDG代谢轻度增高,FAPI摄取明显增高
图3 一例同时性肝十二指肠乳头双原发癌超声内镜检查 注:a为白光下十二指肠乳头处可见隆起型肿物(黑色箭头所示),胃及十二指肠黏膜未见明显异常;b为胆胰管汇合处可见一低回声占位
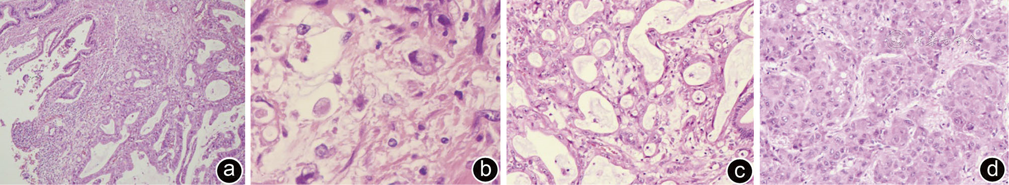
图4 一例同时性肝十二指肠乳头双原发癌术后病理检查图(HE) 注:a示十二指肠癌为中-低分化腺癌(×40);b示十二指肠腺癌伴印戒细胞癌(×200);c示十二指肠腺癌局部伴黏液分泌(×100);d示肝肿瘤为中分化肝细胞癌伴坏死(×200)
图5 一例同时性肝十二指肠乳头双原发癌术后复查PET-CT图像 注:肝S8段见一软组织结节影(红色箭头所示)
图6 一例同时性肝十二指肠乳头双原发癌患者术后化疗前、后腹部增强CT图像 注:a为术后化疗前,示肝S8见一稍低密度结节影(红色箭头所示),边缘高密度强化,最外层密度低于肝实质,考虑肝转移癌;b为化疗后肝S4段见一低密度结节,边界清(红色箭头所示),增强边缘似可见轻度强化,考虑良性结节;c为化疗后示肝原S8结节未见显示,病情完全缓解
[1]
Irimie A, Achimas-Cadariu P, Burz C, et al. Multiple primary malignancies: epidemiological analysis at a single tertiary institution[J]. J Gastrointestin Liver Dis, 2010, 19(1): 69-73.
[2]
Wu C, Bai DS, Jiang GQ, et al. Synchronous double cancers of primary hepatocellular carcinoma and intrahepatic cholangiocarcinoma: a case report and review of the literature[J]. World J Surg Oncol, 2014, 12: 337. DOI: 10.1186/1477-7819-12-337.
[3]
中国抗癌协会多原发和不明原发肿瘤整合康复专业委员会, 陕西省抗癌协会罕见肿瘤专业委员会. 多原发肿瘤诊治中国专家共识(2024版)[J]. 中华消化外科杂志, 2024(10): 1261-1276. DOI: 10.3760/cma.j.cn115610-20240715-00337.
[4]
Legué LM, Bernards N, Gerritse SL, et al. Trends in incidence, treatment and survival of small bowel adenocarcinomas between 1999 and 2013: a population-based study in The Netherlands[J]. Acta Oncol, 2016, 55(9-10): 1183-1189. DOI: 10.1080/0284186X.2016.1182211.
[5]
Alawyia B, Constantinou C. Hepatocellular carcinoma: a narrative review on current knowledge and future prospects[J]. Curr Treat Options Oncol, 2023, 24(7): 711-724. DOI: 10.1007/s11864-023-01098-9.
[6]
耿证琴, 谢琳, 李蓉, 等. 原发性十二指肠癌的临床诊治进展[J]. 肿瘤研究与临床, 2020, 32(10): 730-733. DOI: 10.3760/cma.j.cn115355-20200528-00286.
[7]
黄洁丽, 牛崇峰, 朱斌, 等. 真实世界多原发癌的临床病理特征及其诊疗策略[J]. 中国肿瘤生物治疗杂志, 2022, 29(6): 567-570. DOI: 10.3872/j.issn.1007-385x.2022.06.008.
[8]
郭锐, 李囡, 王菲, 等. 18F-FDG PET/CT在同时性多原发癌中的应用[J]. 肿瘤, 2018, 38(4): 371-378. DOI: 10.3781/j.issn.1000-7431.2018.44.731.
[9]
Wen G, Gu J, Zhou W, et al. Benefits of 18F-FDG PET/CT for the preoperative characterisation or staging of disease in the ampullary and duodenal papillary[J]. Eur Radiol, 2020, 30(9): 5089-5098. DOI: 10.1007/s00330-020-06864-z.
[10]
Foglia B, Turato C, Cannito S. Hepatocellular carcinoma: latest research in pathogenesis, detection and treatment[J]. Int J Mol Sci, 2023, 24(15): 12224. DOI: 10.3390/ijms241512224.
[11]
国家卫生健康委员会. 原发性肝癌诊疗指南(2022年版)[J]. 中国实用外科杂志, 2022, 42(3): 241-273. DOI: 10.19538/j.cjps.issn1005-2208.2022.03.01.
[12]
Lv Y, Wang P, Chen J, et al. Indicative value of pathological classification of duodenal papillary adenomas in clinical diagnosis and treatment[J]. Surg Endosc, 2022, 36(7): 5183-5197. DOI: 10.1007/s00464-021-08894-0.
[13]
Xu M, Wu J, Yu L, et al. Surgical versus endoscopic resection of large sessile duodenal and papillary lesions[J]. Eur J Gastroenterol Hepatol, 2020, 32(1): 48-53. DOI: 10.1097/MEG.0000000000001577.
[14]
Zhou J, Sun H, Wang Z, et al. Guidelines for the diagnosis and treatment of hepatocellular carcinoma (2019 edition)[J]. Liver Cancer, 2020, 9(6): 682-720. DOI: 10.1159/000509424.
[15]
Llovet JM, De Baere T, Kulik L, et al. Locoregional therapies in the era of molecular and immune treatments for hepatocellular carcinoma[J]. Nat Rev Gastroenterol Hepatol, 2021, 18(5): 293-313. DOI: 10.1038/s41575-020-00395-0.
[1] 伍通美, 杨春燕. 胃癌异时性肝转移外科与转化治疗研究进展[J/OL]. 中华普外科手术学杂志(电子版), 2026, 20(01): 78-82.
[2] 梁于勇, 郑丽, 杨俭. PDCD4与原发性肝细胞癌患者肝切除术后疾病进展的关系研究[J/OL]. 中华普外科手术学杂志(电子版), 2025, 19(06): 666-669.
[3] 汤震平, 曾鹏飞, 柏斗胜. 绕肝悬吊前入路与传统入路右半肝切除术治疗原发性肝细胞癌的临床对比[J/OL]. 中华普外科手术学杂志(电子版), 2025, 19(06): 670-673.
[4] 李婷婷, 李宏羽, 吴孟航. 肝动脉灌注化疗在不可切除肝细胞癌中的应用进展[J/OL]. 中华普外科手术学杂志(电子版), 2025, 19(06): 705-708.
[5] 段兴福, 唐建中, 孙志为, 陈业盛, 高波, 费振浩. 后腹膜入路腹腔镜微波消融术治疗复发性肝癌的临床疗效[J/OL]. 中华肝脏外科手术学电子杂志, 2025, 14(06): 919-924.
[6] 朱恒美, 董志涛, 房树恒, 贺丹丹, 张晓丽, 周静, 翟健, 耿利, 杨甲梅. 肝癌肝动脉持续灌注化疗患者卧床时限改变的前瞻性研究[J/OL]. 中华肝脏外科手术学电子杂志, 2025, 14(06): 925-930.
[7] 许侨东, 马志延, 冯庚壬, 钟海彬, 刘坚锐, 古松钢. 肝肺多发性原发性癌转化治疗后行腹腔镜肝右前叶切除术一例(附视频)[J/OL]. 中华肝脏外科手术学电子杂志, 2025, 14(06): 973-976.
[8] 蔡建珊, 陈进宏. 同时性结直肠癌肝转移手术策略[J/OL]. 中华肝脏外科手术学电子杂志, 2025, 14(06): 813-821.
[9] 吴哲境, 李敬东. ICG荧光成像引导下腹腔镜肝切除术治疗肝癌的安全性和有效性Meta分析[J/OL]. 中华肝脏外科手术学电子杂志, 2025, 14(06): 852-859.
[10] 黄少坚, 梁汉标, 李清平, 唐善华, 李青妍, 李芷西, 黄灿, 王小振, 陈灿辉, 王恺, 李川江. 基于影像组学和临床特征构建肝癌新辅助/转化治疗后病理学完全缓解预测模型[J/OL]. 中华肝脏外科手术学电子杂志, 2025, 14(06): 860-867.
[11] 王利皓, 罗世超, 唐强, 尚栋良, 段少博, 卢冰, 李海, 薛飞. 仑伐替尼和PD-1抑制剂预处理联合TACE序贯治疗CNLC分期Ⅲ期肝癌疗效及安全性[J/OL]. 中华肝脏外科手术学电子杂志, 2025, 14(06): 868-874.
[12] 李健文, 陈莹, 陈羲, 宗晓丹. 钆塞酸二钠增强MRI在高分化小肝癌和不典型增生结节鉴别诊断中的应用[J/OL]. 中华肝脏外科手术学电子杂志, 2025, 14(06): 875-881.
[13] 余萱, 贺需旗, 郭光辉, 谭雷, 李凯, 曾庆劲. 新型微波消融系统治疗血管旁与非血管旁肝癌的安全性及疗效[J/OL]. 中华肝脏外科手术学电子杂志, 2025, 14(06): 888-893.
[14] 袁洳靖, 孙居仙, 程树群. 肝癌合并门静脉癌栓放射治疗[J/OL]. 中华肝脏外科手术学电子杂志, 2025, 14(05): 659-666.
[15] 中国医师协会外科医师分会, 中华医学会外科分会胃肠外科学组, 中华医学会外科分会结直肠外科学组, 中国抗癌协会大肠癌专业委员会, 中国医师协会结直肠肿瘤专业委员会, 中国临床肿瘤学会结直肠癌专家委员会, 中国医师协会外科医师分会结直肠外科医师委员会, 中国医师协会肛肠医师分会肿瘤转移委员会, 中华医学会肿瘤学分会结直肠肿瘤学组, 中国医疗保健国际交流促进会转移肿瘤治疗学分会, 中国医疗保健国际交流促进会结直肠病分会. 结直肠癌肝转移诊断和综合治疗指南(V 2025)[J/OL]. 中华结直肠疾病电子杂志, 2025, 14(05): 398-411.
阅读次数
全文


摘要


AI


AI小编
你好!我是《中华医学电子期刊资源库》AI小编,有什么可以帮您的吗?